Ανευρύσματα κοιλιακής αορτής

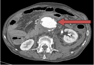
Ανεύρυσμα κοιλιακής αορτής

Η κοιλιακή αορτή είναι η μεγαλύτερη αρτηρία του ανθρώπινου σώματος και μεταφέρει το αίμα από τη καρδιά στο υπόλοιπο σώμα. Το τμήμα της που εκτείνεται από την καρδιά έως το διάφραγμα, σχηματίζει τη θωρακική αορτή με διάμετρο 2,8 εκατοστά, από το διάφραγμα μέχρι το διχασμό της ονομάζεται κοιλιακή αορτή με διάμετρο 2 εκατοστά και από εκείνο το σημείο διαιρείται στις δύο λαγόνιες αρτηρίες.

Σημαντική η Έγκαιρη Διάγνωση από Εξειδικευμένο Ιατρό

Η αύξηση του μεγέθους της αορτής πάνω από το 50% της φυσιολογικής διαμέτρου λέγεται ανεύρυσμα. Πρόκειται για μία θανατηφόρο κατάσταση αν δεν διαγνωστεί και αντιμετωπιστεί έγκαιρα.

Ανεύρυσμα κοιλιακής αορτής

Συμπτώματα

Συνήθως το ανεύρυσμα της κοιλιακής αορτής είναι ασυμπτωματικό και ανακαλύπτεται τυχαία σε διαγνωστικούς ελέγχους για άλλες αιτίες. Για παράδειγμα υπερηχογράφημα κοιλίας. Αλλά μπορεί να παρουσιάζει και τα εξής συμπτώματα:

  • Πόνος στο επιγάστριο με αντανάκλαση στην αριστερή πλάγια κοιλία
  • Αίσθημα παλμών στην κοιλιακή χώρα, όταν είναι μεγάλο το μέγεθός του
  • Γάγγραινα δακτύλων των κάτω άκρων όταν υλικό από το εσωτερικό του αποσπάται και εμβολίζει κάποια αρτηρία της περιφέρειας
  • Έντονος πόνος στην οσφυϊκή χώρα με αντανάκλαση στην κοιλιά στις περιπτώσεις που το ανεύρυσμα είναι διατεινόμενο. Τότε ο κίνδυνος ρήξης είναι πολύ μεγάλος και η κατάσταση αυτή χρήζει άμεσης αντιμετώπιση

Επιπλοκές & Παράγοντες κινδύνου

Γενικώς η αιτιολογία του ανευρύσματος της κοιλιακής αορτής παραμένει άγνωστη όμως ενοχοποιούνται και οι εξήςΑνεύρυσμα κοιλιακής αορτής παράγοντες κινδύνου

  • Κάπνισμα
  • παχυσαρκία
  • Υπερλιπιδαιμία
  • Αυξημένη αρτηριακή πίεση

Συγκεκριμένα το ποσοστό των ασθενών που επιβιώνουν όταν το ανεύρυσμα κοιλιάς υποστεί ρήξη, κυμαίνεται από 10% μέχρι 50% το πολύ και συνοδεύεται από σοβαρές επιπλοκές.

Ανεύρυσμα θωρακικής αορτής: Τί είναι

Με τον όρο ανεύρυσμα της θωρακικής αορτής εννοούμε τη διάταση της θωρακικής αορτής πάνω από 50% της φυσιολογικής της διαμέτρου. Μία διάταση της αορτής πάνω από 50 εκατοστά χρειάζεται τακτικό εξαμηνιαίο έλεγχο και όταν το ανεύρυσμα υπερβεί τα 5 εκατοστά χρειάζεται χειρουργική αντιμετώπιση.

Ανεύρυσμα θωρακικής αορτής

Το ανεύρυσμα της θωρακικής αορτής μπορεί να είναι διατατικό (ατρακτοειδές) όπου διατείνεται ολόκληρο το τοίχωμα της αορτής, σακοειδές όπου από ένα τμήμα της αορτής που εξελκώνεται ή εξασθενεί προβάλλει ο έσω χιτώνας του αγγείου και σχηματίζει ανεύρυσμα σαν σάκο, ή μπορεί  να είναι διαχωριστικό όπου ο έσω χιτώνας του αγγείου διαρρηγνύεται και αποκολλάται από τον έσω χιτώνα σχηματίζοντας διαφορετικού κάθε φορά σχήματος και έκτασης ανεύρυσμα.

Αιτιολογία

  • Κάπνισμα
  • Παχυσαρκία
  • Υπερλιπιδαιμία
  • Αυξημένη αρτηριακή πίεση
  • Τραύματα στον θώρακα
  • Σύνδρομο Marfan

Συμπτώματα

  • Πόνος στην πλάτη
  • Oξύ διαξιφιστικό άλγος (πόνος) στο θώρακα
  • Βήχας και δυσκολία στην αναπνοή ή στην κατάποση

Διάγνωση και εξετάσεις

Θεραπεία ανευρύσματος

Τα ανευρύσματα της θωρακικής ανακαλύπτονται συνήθως τυχαία σε κάποιον τυπικό καρδιολογικό έλεγχό ή για κάποια άλλη αιτία ή καμιά φορά μπορεί να φαίνονται σε μία απλή ακτινογραφία θώρακος.

Η αξονική τομογραφία ή αξονική αγγειογραφία με ενδοφλέβια έγχυση σκιαγραφικού είναι η εξέταση, η οποία θα βοηθήσει τον αγγειοχειρουργό να προσδιορίσει το ακριβές μέγεθος του ανευρύσματος και τον τρόπο που θα το αντιμετωπίσει.

Ανεύρυσμα ιγνυακής αρτηρίας: Τί είναι

Ανεύρυσμα ιγνυακής αρτηρίαςΤο ανεύρυσμα ιγνυακής αρτηρίας όπως και τα άλλα ανευρύσματα είναι η διάταση της ιγνυακής αρτηρίας η οποία βρίσκεται ακριβώς πίσω από το γόνατο, περισσότερο από το 50% της φυσιολογικής διαμέτρου.

Το ανεύρυσμα ιγνυακής αρτηρίας το συναντάμε πιο συχνά στους άντρες και κατά 50% είναι αμφοτερόπλευρο.

Παράγοντες – Αίτια εμφάνισης του συνδρόμου

  • Ανδρικό φύλο
  • Μεγάλη ηλικία
  • Γενικό ιστορικό ανευρυσμάτων
  • Σύνδρομο παγίδευσης της ιγνυακής αρτηρίας
  • Λοιμώδη αίτια
  • Τραύματα στην περιοχή του γόνατος

Συμπτώματα

Γενικά το ανεύρυσμα ιγνυακής αορτής δεν δίνει συμπτώματα στο 38% των ασθενών.

Στο υπόλοιπο ποσοστό συνήθως παρουσιάζονται κάποιες επιπλοκές όπως είναι η θρόμβωση και κατά συνέπεια η ισχαιμία του κάτω άκρου. Η ισχαιμία μπορεί να εμφανιστεί με δύο μορφές, την οξεία και τη χρόνια.

Σε πιο σοβαρές καταστάσεις τα συμπτώματα μπορεί να εμπεριέχουν αποκόλληση θρόμβων εξαιτίας του ανευρύσματος και περιφερική εμβολή.

Η θρόμβωση του ανευρύσματος της ιγνυακής αρτηρίας είναι μία επικίνδυνη κατάσταση που καταλήγει συνήθως σε ακρωτηριασμό του σκέλους.

Όταν γίνεται διάγνωση του ανευρύσματος της ιγνυακής αρτηρίας η θεραπεία είναι χειρουργική και πρέπει να γίνεται το συντομότερο δυνατό.

Διάγνωση – Εξετάσεις

Το ανεύρυσμα της ιγνυακής αρτηρίας μπορεί να διαγνωστεί με ένα απλό triplex αρτηριών κάτω άκρων.

Η μαγνητική τομογραφία ή η αξονική αγγειογραφία μας δίνουν πληροφορίες για το μέγεθος και την ανατομία του ανευρύσματος.

Απαραίτητη πριν τη χειρουργική αντιμετώπιση είναι η ψηφιακή αγγειογραφία η οποία δίνει πληροφορίες στον χειρουργό χρήσιμες για την αντιμετώπιση του ανευρύσματος.

 

Χειρουργική – Ενδαγγειακή θεραπεία ανευρυσμάτων

Η αορτή είναι η μεγαλύτερη αρτηρία στο σώμα μας με διάμετρο στον θώρακα μέχρι 28mm (θωρακική αορτή) και στην κοιλία 20mm (κοιλιακή αορτή). Μεταφέρει το αίμα από την καρδιά στο υπόλοιπο σώμα δηλαδή κεφαλή, σπλάχνα, άνω και κάτω άκρα.

Θεωρητικά ανεύρυσμα μπορεί να δημιουργηθεί οπουδήποτε υπάρχει αρτηρία στο σώμα μας, όμως οι πιο συχνές εντοπίσεις είναι η κοιλιακή αορτή, οι λαγόνιες αρτηρίες, η θωρακική αορτή, οι ιγνυακές αρτηρίες, οι κοινές μηριαίες αρτηρίες και οι σπλαχνικές αρτηρίες ενώ το ανεύρυσμα της καρωτίδας είναι εξαιρετικά σπάνιο.

Η ρήξη του ανευρύσματος είναι μια θανατηφόρος επιπλοκή που χρειάζεται άμεση αντιμετώπιση.

Θώρακας

Αυξάνεται η διάμετρος της θωρακικής αορτής κατά 50% πάνω σε σχέση με τη φυσιολογική διάμετρο. Οι μεγαλύτεροι κίνδυνοι στο θωρακικό ανεύρυσμα είναι η ρήξη και ο διαχωρισμός.

Κοιλία

Στην κοιλία δημιουργείται  συνήθως κάτω από τις νεφρικές αρτηρίες όπου διατείνεται η κοιλιακή αορτή κατά 50% και πάνω. Πολλές φορές η διάταση αυτή επεκτείνεται και στις λαγόνιες αρτηρίες που αποτελούν τη συνέχεια της κοιλιακής αορτής προς τα κάτω άκρα. Η ανεύρεση του ανευρύσματος γίνεται συνήθως τυχαία σε έλεγχο της κοιλίας για κάποιο άλλο πρόβλημα με έναν απλό υπέρηχο ή αξονική τομογραφία.

Η εξέταση που θα μας δείξει ακριβώς τις διαστάσεις του ανευρύσματος και την έκτασή του καθώς και τον τρόπο αντιμετώπισής του είναι η αξονική τομογραφία άνω και κάτω κοιλίας με ενδοφλέβια έγχυση σκιαγραφικής ουσίας.

Ενδαγγειακή θεραπεία ανευρυσμάτων

Το ανεύρυσμα που παρατηρείται σε κάποια περιοχή της αορτής, τις περισσότερες φορές είναι αναγκαίο να χειρουργηθεί. Αυτό γίνεται όταν ξεπεράσει η διάμετρός του τα 5 cm ή όταν αυξάνεται περισσότερο από 1 cm ετησίως γιατί η πιθανότητα ρήξης του ανευρύσματος πολλαπλασιάζεται καθώς αυτό αυξάνεται σε μέγεθος.

Η σύγχρονη και ελάχιστα επεμβατική μέθοδος που χρησιμοποιείται είναι η χειρουργική-ενδαγγειακή θεραπεία. Με την τεχνική αυτή αποκαθίσταται ο αυλός της αορτής αποκλείοντας το ανεύρυσμα το οποίο στη συνέχεια συρρικνώνεται.

Με την ενδαγγειακή ή ενδοαυλική διόρθωση του ανευρύσματος εννοούμε την επέμβαση που γίνεται μέσα από τον αυλό των αρτηριών, μέσω δύο μικρών τομών απ’ όπου διέρχονται με μεγάλη ακρίβεια ειδικοί καθετήρες, που εισέρχονται στην περιοχή του ανευρύσματος και απελευθερώνουν το κατάλληλο μόσχευμα αποκλείοντας το ανεύρυσμα. Για τη διενέργεια της επέμβασης δεν απαιτείται γενική αναισθησία για πολλούς ασθενείς, αλλά περιοχική.

Διαδικασία

Μέσω δύο μικρών τομών 3 περίπου εκατοστών, εισάγεται το συνθετικό μόσχευμα γνωστό ως «μόσχευμα επικαλυμμένο με ενδονάρθηκα», το οποίο έχει ραφτεί σε έναν μεταλλικό σκελετό, με σκοπό να ανοιχτεί μέσα στο ανεύρυσμα και να αποκαταστήσει τον αυλό της  αορτής, αφήνοντας εκτός κυκλοφορίας το ανεύρυσμα. Η διαδικασία αυτή θεωρείται επιτυχής όταν η κυκλοφορία του αίματος στο ανεύρυσμα της αορτής σταματήσει.

Κατάλληλοι ασθενείς για την ενδαγγειακή θεραπεία

Η μόνη περίπτωση στην οποία η ελάχιστα επεμβατική ενδαγγειακή θεραπεία δεν συνιστάται για τον ασθενή, αφορά τη θέση του ανευρύσματος, αν για παράδειγμα είναι κοντά στις νεφρικές αρτηρίες, οι εκτεταμένες στενώσεις των κοινών μηριαίων ή λαγονίων αρτηριών και η μεγάλη ελίκωση των λαγονίων αρτηριών. Τότε ενδείκνυται η ανοιχτή χειρουργική επέμβαση.

Μετά την επέμβαση

Το μεγαλύτερο ποσοστό των ασθενών μετά από λίγο μεταφέρεται στο δωμάτιο του νοσοκομείου, ενώ σπανίως χρειάζεται η μεταφορά ασθενούς στην εντατική για στενότερη παρακολούθηση. Την επομένη της επέμβασης ο ασθενής μπορεί να φάει και να περπατήσει. Η όλη διαδικασία κρατάει 3-4 ημέρες.

Μετεγχειρητική παρακολούθηση

Αμέσως μετά την επέμβαση πραγματοποιείται εκ νέου αξονική τομογραφία με σκιαγραφικό για να εκτιμηθεί η κατάσταση της αορτής και του μοσχεύματος καθώς και ο αποκλεισμός του ανευρύσματος από την αρτηριακή ροή. Στη συνέχεια ο ασθενής εξέρχεται και γίνεται παρακολούθηση του μοσχεύματος με αξονική τον 1ο, 6ο και 12ο μήνα. Στη συνέχεια κάθε 2 χρόνια ελέγχουμε το μόσχευμα με αξονική τομογραφία ή μια απλή ακτινογραφία κοιλίας και triplex κοιλιακής αορτής.

Πλεονεκτήματα ενδαγγειακής αντιμετώπισης ανευρύσματος

  • Αποφυγή της γενικής πολύωρης νάρκωσης
  • Δεν γίνεται τομή στην κοιλιακή χώρα
  • Οι επιπλοκές είναι ελάχιστες καθώς οι ιστικές καταστροφές είναι αμεληταίες σε σχέση με την ανοιχτή χειρουργική αντιμετώπιση
  • Μικρή παραμονή στο νοσοκομείο και συνεπώς μικρότερος κίνδυνος για ενδονοσοκομειακές λοιμώξεις
  • Η ανάρρωση είναι ταχεία
  • Η επέμβαση είναι ανώδυνη και η συνολική καταπόνηση του οργανισμού ελάχιστη

Πηγαίνοντας στο σπίτι

Για τη βαθμιαία επάνοδο της φυσιολογικής δραστηριότητας καλό είναι να αποφεύγεται το πολύωρο περπάτημα. Επίσης είναι σημαντικό για λίγες μέρες να μην πέσει νερό στο χειρουργικό τραύμα.

Αν ο ασθενής είναι οδηγός, μπορεί να οδηγήσει με ασφάλεια 3 εβδομάδες μετά την επέμβαση. Στην εργασία του ο ασθενής μπορεί να επιστρέψει σε μερικές εβδομάδες πάντα με την καθοδήγηση του ιατρού.

Συχνές ερωτήσεις ασθενών

Πότε προκύπτει ρήξη ανευρύσματος κοιλιακής αορτής;

Όταν η διάμετρος του ανευρύσματος υπερβεί τα 5 εκατοστά τότε ανά πάσα στιγμή μπορεί να ραγεί. Αυτό εξαρτάται και από άλλους παράγοντες όπως είναι η υψηλή αρτηριακή πίεση και η έντονη σωματική εργασία.

Πώς μπορώ να ξέρω ότι έχω, εφόσον είναι ασυμπτωματικό;

Το ανεύρυσμα της κοιλιακής αορτής οφείλεται και σε κληρονομικούς λόγους, επομένως μετά την ηλικία των 50 ετών άνθρωποι με οικογενειακό ιστορικό ανευρύσματος ή με κάποιους από τους επιβαρυντικούς παράγοντες που αναφέραμε  πρέπει να υποβάλλονται σε έναν τουλάχιστον έλεγχο. Ο έλεγχος είναι πολύ απλός και μπορεί να γίνει με ένα triplex κοιλιακής αορτής.

Ποιες επιπλοκές θεωρούνται σοβαρές στο ανεύρυσμα κοιλιακής αορτής; – Ανεύρυσμα κοιλιακής αορτής με θρόμβο

Όταν στο εσωτερικού του ανευρύσματος δημιουργηθεί θρόμβος, τότε υπάρχει κίνδυνος απόφραξης της αρτηρίας. Επιπλέον κομμάτια του θρόμβου μπορεί να διαχωριστούν από αυτόν και να εμβολίσουν άλλες αρτηρίες.

Σχετικά Video